20岁男生挤痘致肺部穿孔:这个习惯险致命
11月24日,一则医疗消息引发关注:一个看似寻常的挤痘举动,竟引发如此严重的后果。近日,宁波大学附属第一医院公布了一起相关案例。
据了解,20岁的大学生小林(化名)为准备期末考试连续熬夜学习,脸上冒出一颗黄豆大小的痘痘。
为了让痘痘尽快消退,他未洗手就直接对着镜子将其挤破,还连带挤出些许脓液。
不料几天后,长痘部位开始化脓恶化,更糟的是小林出现持续发烧、剧烈咳嗽等症状,即使服用退烧药也仅能短暂缓解。
最折磨人的是右胸部的刺痛感,像有根针在不断扎刺,深呼吸或咳嗽时更是痛得直冒冷汗。
持续到第三天,小林体温已升至39℃,急忙赶往宁波大学附属第一医院就诊。
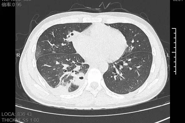
接诊的呼吸与危重症医学科丁群力主任医师发现其症状异常,立即安排CT检查。结果显示:小林肺部出现十余个空洞,部分肺组织已坏死,这是典型的血源性肺脓肿。
进一步的细菌培养和基因检测揭开真相——小林血液中检出了金黄色葡萄球菌,这种细菌其实潜藏在每个人的皮肤表面。
医生解释道,“元凶正是那颗被挤破的痘痘。这颗痘痘长在面部‘危险三角区’,挤压时的压力将细菌推入血管,引发败血症,继而细菌随血流抵达肺部,侵蚀肺组织。”

相关攻略
1月28日消息,据媒体报道,浙江杭州一位妈妈在辅导儿子功课时,因孩子学不会一道题,情绪突然激动,竟将一整罐安眠药吞服。万幸家人发现及时,经医院紧急救治,目前已脱离生命危险,情绪趋于稳定。据了解,这位
9月10日消息,据媒体报道,张先生称自己常常梦见和别人争吵打架等场景。梦中他大声呼救、使劲挣扎,有时候还会对着空气一顿拳打脚踢,几次都误伤到身旁的妻子。经诊断,张先生患上了“快速眼动睡眠行为障碍”,
12月1日消息,据“湖北日报”报道,武汉科技大学生命科学与健康学院顾潮江教授团队构建新型“基因魔剪”有望治愈艾滋病,研究成果已于11月底在国际顶级期刊《分子疗法》发表。该成果被称为“EMT-Cas1
10月31日消息,据媒体报道,有流言称“得过一次流感就会终身免疫,再也不用担心了”。对此,医生指出,流感病毒最大的特点是“善变”,尤其是甲型流感,其表面蛋白如血凝素(HA)和神经氨酸酶(NA)不断发
10月31日消息,据媒体报道,有专家表示,男性更年期早期出现大约是在40岁左右,如果喜欢躺在家里,不爱运动,可能还会加重更年期症状。40岁以上的男性差不多有30%会出现激素水平的下滑,表现为精力下降
热门专题
热门推荐
华硕ROG正式发布2026款枪神、魔霸及魔霸新锐系列游戏本并开启预约。枪神系列分为标准版与超竞版,均搭载酷睿Ultra9处理器,超竞版可选RTX5090显卡并配备光显矩阵屏。魔霸系列采用AMD锐龙处理器,高配可选锐龙99955HX3D与RTX5070Ti显卡。魔霸新锐系列主打性价比,配备RTX5060显卡,面向预算有限的玩家。
内存价格高企,单通道DDR5成为高性价比装机方案,但会降低游戏性能。测试显示,锐龙59600X凭借Zen5大核架构及对内存低延迟的优化,在搭配单条DDR56000内存时,游戏性能损失较小。相比之下,酷睿Ultra200SPLUS系列更依赖高带宽,单通道下性能下滑明显。在多款热门电竞网游实测中,锐龙59600X性能领先,且整机性价比优势显著。
神牛发布ML40系列摄影灯,包含ML40Bi和ML40R两款。ML40Bi售价568元,内置锂电池,支持边充边用及NFC快速连接,侧重便携智能。ML40R售价698元,具备更广色温调节范围,侧重专业色彩控制。两者均采用磁吸设计,兼容丰富附件,满足不同布光需求。
华硕TUFGaming系列推出新款850W白金重炮手氮化镓电源,到手价849元。该电源符合ATX3 1规范,长度150mm,采用全模组设计,配备12V-2×6接口支持600W峰值功率。其获得双白金效率认证与A-噪声认证,内部使用氮化镓元件与长寿电容,搭配135mm静音风扇,并提供8年质保,主打高效、安静与持久稳定。
FalconUSD(USDF)是一种与美元挂钩的稳定币,旨在为Web3生态系统提供可靠的交易媒介和价值储存工具。其运作依赖于储备资产支持和透明审计机制,在DeFi、跨境支付等场景有应用潜力。了解其技术原理、市场定位及潜在风险,有助于理性评估这一新兴数字资产的价值与前景。





