肝脏也能按需定制?科学家研发新型植入物,让肝组织在体内自己长
肝脏是人体中再生能力最强的实体器官,能够在失去 70% 体积后自行修复。然而,当这种令人赞叹的再生能力也不足以对抗疾病时,患者便走到了一条单行道的尽头:器官移植。
现实是残酷的。全球每年有数百万人死于终末期肝病,其中真正能等到合适供体的患者,不过是幸运中的少数。更多人在等待移植的名单上煎熬,结局却往往是因病情过重,最终失去手术机会,或在手术前便遗憾离世。
免费影视、动漫、音乐、游戏、小说资源长期稳定更新! 👉 点此立即查看 👈
几十年来,肝脏组织工程领域的学者们一直在实验室里努力培育可供移植的肝脏组织,但一个核心瓶颈始终横亘在前:如何在植入前,将工程化肝组织的体积扩大到具有治疗意义的规模?这个问题,几乎成了整个领域的“阿喀琉斯之踵”。
转机出现在今年4月。哈佛大学怀斯生物启发工程研究所(Wyss Institute at Harvard University)主导的联合团队,在《科学进展》(Science Advances)上发表了一项突破性研究。他们选择了一条截然不同的路径:不再执着于在实验室里解决所有问题,而是巧妙地将“规模化”这项任务,“外包”给了患者自己的身体。他们结合组织工程学与合成生物学,创造出一种可以在体内远程接收“生长指令”的工程化肝脏构建体,并首次在动物实验中实现了植入后的按需扩增。这相当于为患者植入了一颗可以远程控制的“肝脏种子”。
器官短缺与组织工程的双重困境
肝脏一旦病变至终末期,其此前强大的自我修复能力便彻底崩溃。此时,肝脏移植是唯一的治愈性手段。然而,供体与需求之间那道巨大的鸿沟,让这一选项对绝大多数患者而言,近乎奢望。
理论上,组织工程学提供了一条极具吸引力的替代路径:在实验室培育出功能性的工程化肝组织,作为等待移植的“桥梁”,甚至有望在未来直接替代移植。过去数十年,研究人员在三维生物打印、血管化构建、细胞封装等技术上取得了长足进步,已经能够培育出在短期内具备基本代谢功能的微型肝组织。
但一个根本性的瓶颈始终未被突破:可植入的工程化肝组织,其最大尺寸依然极其有限,与提供有意义的治疗所需的体积之间,存在着数量级的差距。这并非肝脏独有的难题,工程化的心脏、肾脏、肌肉等组织,无一例外都受困于同样的“规模上限”。
这种规模化困境,源于三重技术障碍。首先是细胞来源,获取足够数量且高质量的原代人类肝细胞来构建大体积组织,本身就很困难。其次,在密集堆积的三维组织中,细胞的氧气与营养供应需求巨大,需要与之完美匹配的血管网络,这在体外极难实现。最后,将海量细胞以保持活性的方式组装成大尺寸三维结构,在工艺上至今没有可靠的解决方案。尽管各方技术路线都在推进,但均未能彻底破局。

(来源:Wyss Institute at Harvard )
面对这一困境,怀斯研究所的团队决定换个思路。他们提出了一个大胆的设想:能否先植入一个小规模的工程化肝组织构建体,待其成功在体内“安家”后,再通过外部给药的方式,远程驱动它在患者体内自发扩增?如果成功,这个扩增后的“卫星肝脏”,便能立即分担受损肝脏的代谢负荷,为患者等待供体赢得宝贵的“时间窗口”。
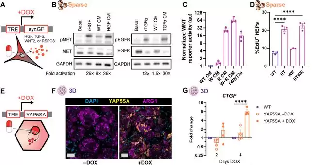
BOOST 策略:思路、设计与工作原理
研究团队将这一策略命名为“BOOST”,全称为“基于合成生物学触发的生物工程按需外扩生长”。其核心逻辑在于,将复杂的工程难题,转化为一个更精巧的生物学控制问题:利用人体成熟的血管网络解决营养供应,再利用合成生物学工具解决生长控制。
BOOST 策略的实施,分为两个关键层次:第一,破解驱动致密三维肝组织中细胞增殖所需的精确生物学信号组合;第二,通过合成生物学,将这些信号的“遥控开关”安装到工程化细胞的基因里,使其能通过外部给药来精确、可逆地启动。

(来源:Wyss Institute at Harvard University)
肝脏的再生生长由多种可溶性生长因子调控。经过系统筛选,团队最终锁定了四种关键因子:肝细胞生长因子(HGF)、转化生长因子α(TGFα)、WNT2和RSPO3。这四者协同作用,是启动肝细胞增殖的经典信号。
然而,当研究人员将这四种生长因子应用于高密度肝细胞和成纤维细胞组成的三维肝组织时,效果却大打折扣。这次挫折让团队意识到,在致密组织中,可能存在额外的“增殖刹车”机制。
答案指向了一个名为Yes相关蛋白(YAP)的胞内蛋白。YAP是Hippo信号通路的核心下游因子,能感知细胞密度等机械信号。在高密度组织中,YAP通常会被降解,从而抑制细胞增殖。这意味着,即便外源性生长因子齐全,细胞密度本身也会通过YAP降解这道关卡,阻断增殖信号。
为了突破这一限制,研究者在肝细胞中引入了一种经过改造的、不可降解的YAP突变体。这种突变体能无视细胞间的机械压力,强制进入细胞核启动增殖相关基因,从而巧妙地绕过了密度感知的检查点。实验证实,只有这种非降解型YAP与前述四种特定生长因子协同作用时,密集的人类肝细胞才能实现强力扩增——五种元素,缺一不可。
这一发现也提示,人类肝细胞的增殖调控逻辑,比以往仅从啮齿动物模型中获得的认知更为复杂。
明确了驱动信号组合后,下一个挑战便是:如何将对这些信号的控制权,“安装”到工程化细胞内部,实现体内按需启停?
这时,合成生物学工具登场了。研究团队分别改造了两类细胞:首先,将四种生长因子分别编码至不同的成纤维细胞系,让这些原本的“支撑细胞”变身为“生长因子供给站”。同时,在肝细胞中引入了表达不可降解型YAP突变体的基因。最关键的一步是,将所有这些蛋白的表达,都置于多西环素(DOX)诱导启动子的控制之下。DOX是一种临床常用的抗生素,这套诱导系统也是分子生物学中经典且成熟的控制工具。

(来源:DOI: 10.1126/sciadv.adz8362)
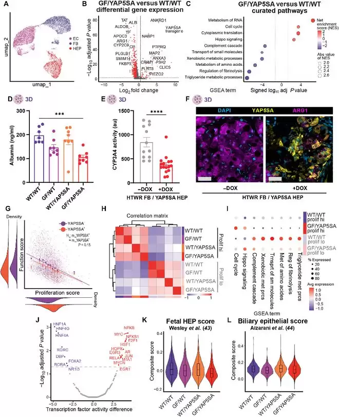
体外实验证实,改造后的三维肝组织在DOX存在下,实现了为期7天的稳步扩增,体积和细胞数量显著增加。一旦停药,蛋白合成即刻停止,细胞增殖也随之停止,实现了“指哪打哪”的精确控制。
值得注意的是,单细胞基因表达分析显示,处于高增殖状态的肝细胞,其功能特异性基因表达会有所下降。这其实是细胞生物学中一种常见的“增殖-分化权衡”现象——细胞很难同时全力奔跑(增殖)和专心工作(执行功能)。团队指出,未来或许可以利用肝脏自身的再功能化信号,在扩增完成后恢复这些细胞的功能状态。

(来源:DOI: 10.1126/sciadv.adz83)
植入小鼠体内的在体扩增验证
体外验证成功只是第一步。要让这套系统真正走向临床,必须在活体动物体内证明其可行性。研究人员将小型的BOOST工程化肝组织构建体植入健康小鼠体内,待其定植后,进行为期7天的DOX系统性给药。
结果令人振奋。植入的组织在给药期间,增殖率提升了约500%,工程化肝细胞数量实现了倍增。更可喜的是,扩增后的组织成功吸引了宿主血管长入,形成了功能性的供血网络,这是组织长期存活并发挥功能的必要条件。

(来源:DOI: 10.1126/sciadv.adz8362)
在安全性方面,实验小鼠未出现组织纤维化迹象,也未观察到肿瘤生成。这表明,这种可控的、指令驱动的增殖,并未触发不可控的致癌过程,对于一项具有临床应用潜力的策略而言,这无疑是至关重要的好消息。
这项研究在更宏观的坐标系中意味着什么
回顾以往的肝脏再生策略,无论是植入细胞还是刺激再生,大多依赖于宿主肝脏预先存在损伤:通过制造一个“受伤”的环境,为植入细胞创造增殖的生态位。这类策略不仅前提苛刻,还面临递送效率低、靶向性差、控制不精密等问题。
BOOST策略的突破性在于,它完全摆脱了对宿主肝损伤的依赖,在完全健康的宿主体内成功诱导了植入组织的扩增。其思路,某种程度上更接近于已在血液肿瘤领域取得成功的CAR-T细胞疗法:先植入经过基因改造的细胞“活体药物”,再通过外部信号对其活性进行精密遥控。
当然,必须清醒地看到,BOOST在当前阶段仍有其局限性。首先,如前所述,高增殖状态下的肝细胞功能会暂时性下调,如何在其扩增完成后快速恢复功能,是下一步需要解决的问题。其次,所有体内实验目前均在小鼠模型中完成,尚未在肝病动物模型中验证其能否有效“拯救”受损肝功能,这是通向临床前不可或缺的一环。
此外,虽然多西环素是安全药物,但其长期全身给药对菌群等的潜在影响仍需评估。未来临床转化时,开发更精准的替代诱导系统(如植物激素模拟物)或许是方向之一。基因改造细胞本身的长期安全性、异常增殖风险,以及原代肝细胞的来源限制问题,也都是未来需要深入研究和优化的课题。
更广阔的应用图景
除了为终末期肝病患者带来新的希望,BOOST策略更深远的意义在于,它为“按需可控的实体器官细胞疗法”建立了一个初步的技术原型。
其底层逻辑在原理上可以延伸至其他同样受困于规模化挑战的领域。例如,工程化心肌组织治疗心力衰竭、工程化胰岛组织治疗糖尿病等。在这些场景中,能够先植入小规模的功能性“种子”组织,再在体内按需扩增至治疗剂量,将从根本上改变许多实体器官细胞疗法的研发范式。
正如怀斯研究所创始主任唐纳德·英格伯教授所评价的,这项研究代表了一种解决移植器官短缺的全新思路,并具备重要的跨疾病应用潜力。它生动地体现了一种理念:用创新的生物工程策略,去改变那些看似已别无选择的患者的命运。
参考来源:
https://www.science.org/doi/10.1126/sciadv.adz8362
https://wyss.harvard.edu/news/growing-liver-tissue-on-demand-directly-in-the-body/
运营/排版:何晨龙
相关攻略
肝脏是人体中再生能力最强的实体器官,能够在失去 70% 体积后自行修复。然而,当这种令人赞叹的再生能力也不足以对抗疾病时,患者便走到了一条单行道的尽头:器官移植。 现实是残酷的。全球每年有数百万人死于终末期肝病,其中真正能等到合适供体的患者,不过是幸运中的少数。更多人在等待移植的名单上煎熬,结局却往
北京商报讯(记者 丁宁)4月6日晚间,艾迪药业(688488)发布公告称,公司及全资子公司泸州艾迪医药技术有限公司于近日收到国家药品监督管理局核准签发的《药物临床试验批准通知书》,同意公司抗艾滋病领
在护肤品这个极度依赖“成分叙事”的行业里,新分子的诞生往往伴随着漫长的盲目试错。但现在,“物理人工智能(Physical AI)”正在试图终结这种不确定性。 这是一个关于乳铁蛋白的故事。它曾是母乳中
来源:科技日报“未来,受胆汁酸代谢紊乱困扰的患者,如胆汁淤积性肝病患者、消化不良及相关代谢综合征患者,都有可能从基于这一发现开发的新疗法中获益。”◎本报记者 陆成宽在人体消化吸收脂肪的过程中,胆汁酸
新华社3月8日报道,葡萄牙科英布拉大学参与的国际科研团队在实验室中运用细胞重编程技术,成功再造出具有抗肿瘤功能的免疫细胞,为开发新的细胞免疫治疗方法提供了新方向。该技术可将一种细胞转化为另一种完全不
热门专题
热门推荐
Ja vaScript 生态常用库曝高危漏洞,数百万应用面临代码执行风险 一个在Ja vaScript生态中广泛使用的 `form-data` 库,最近曝出了一个高危安全漏洞(编号CVE-2025-7783)。这事儿影响可不小,波及了数百万个依赖该库的应用。攻击者一旦利用这个漏洞,就能执行恶意代码,
宇树科技和阿里将有出海战略级合作:宇树机器人上手阿里电脑打字 或将落地速卖通 4月9日,一则来自申妈朋友圈的消息引发了业内关注。据知情人士透露,宇树科技与阿里巴巴之间,正在酝酿一项重要的出海战略合作。 这并非空xue来风。就在近日,宇树科技的最新款机器人R1,被发现现身于阿里巴巴的西溪园区。更有趣的
长沙女子报警“救母” 警方紧急止付42万元 最近,长沙发生的一起案件,给所有为子女婚事操心的父母敲响了警钟。一位女士急匆匆跑进派出所报案,原因是她怀疑自己的母亲可能遭遇了电信反诈。接警后,民警的反应堪称教科书级别,立即启动了紧急止付程序,成功冻结了高达42万元的涉案资金,为当事人挽回了巨额损失。 随
近期,战神新作传闻再起:2026年会是奎爷回归之年吗? 最近游戏圈里可不太平静,几条在社交平台上流传的消息,把玩家的胃口又吊了起来——传闻称,战神系列全新的正统续作,有望在2026年4月正式揭开面纱。需要厘清的是,目前索尼和圣莫尼卡工作室确实在忙活《战神:希腊三部曲》的重制版,但这次传闻指向的,是另
小米汽车因一张P图冲上热搜第一:Tim Cook出任小米汽车CEO? 今天科技圈的热搜榜,被小米汽车意外“霸占”了。不过,这次的主角既不是新车发布,也不是什么营销大动作,而是一张来自网友的、脑洞大开的P图。 事情是这样的。前几天,苹果CEO蒂姆·库克宣布将于今年9月退休,这消息本身就够重磅了。结果,





