复旦团队邓娟/孙立婷发现介导三叉神经痛的神经环路
文 | 脑声常谈
三叉神经痛(Trigeminal Neuralgia, TN)被医学界公认为人类最极端的疼痛体验之一,常被称作“天下第一痛”。这种疼痛如同闪电或电击般,在面部反复、剧烈地爆发。尽管超过九成的患者都在尝试药物治疗,但残酷的现实是,仍有约三分之二的人被迫困于重度疼痛的阴影之中。对于那些在刀尖上呼吸的患者而言,破译其神经机制不仅是科学命题,更是临床上迫在眉睫的“救命良药”。
2026年3月14日,复旦大学脑科学转化研究院邓娟研究员及孙立婷副研究员在国际著名期刊《Advanced Science》杂志发表了“A Tac1 -Expressing Brainstem Pathway Underlies the Pathogenesis of Trigeminal Neuralgia”,首次鉴定出介导TN发病的TG-Sp5CTac1-PBNTac1 脑干通路,同时揭示了口面部疼痛与躯体疼痛的差异化处理机制。

研究首次鉴定出介导三叉神经痛(TN) 发病的TG-Sp5CTac1-PBNTac1 脑干神经通路,发现Tac1基因是投射到臂旁核(PBN)的三叉神经脊束核尾侧亚核(Sp5C)神经元的特异性分子标记。PBNTac1神经元和投射到PBN 的Sp5CTac1神经元在TN痛觉超敏中起核心调控作用,化学遗传学抑制该通路神经元、敲减Sp5C投射神经元中Tac1基因可显著缓解TN相关痛觉超敏。且该通路特异性接收三叉神经节(TG)的伤害性和非伤害性感觉信号,同时揭示了口面部疼痛与躯体疼痛存在截然不同的神经处理机制,为TN的靶向治疗提供了全新的靶点。

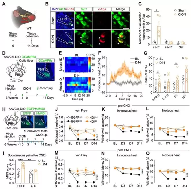
图一 PBNTac1神经元关键性调控TN诱发的痛觉过敏
利用定制化头固定系统与小鼠表情量表(MGS),精准建立并验证了TN引起自发痛与诱发痛的评估体系。
研究发现,三叉神经损伤(CION)会激活PBN,而化学遗传学抑制该脑区能显著预防 TN 诱发的机械痛敏。
通过RNAscope与活体钙成像技术,作者进一步锁定了PBN中表达Tac1的神经元亚群:这群神经元在 TN 模型中活动异常增强,且通过化学遗传学手段长期抑制PBNTac1神经元,不仅能有效缓解小鼠的痛苦表情及痛敏行为,还展现出逆转神经可塑性的潜力。此外,呼吸功能测试排除了镇痛效果源于呼吸状态改变的可能,从而确立了PBNTac1神经元是调控三叉神经痛及相关神经病理性疼痛的关键靶点。

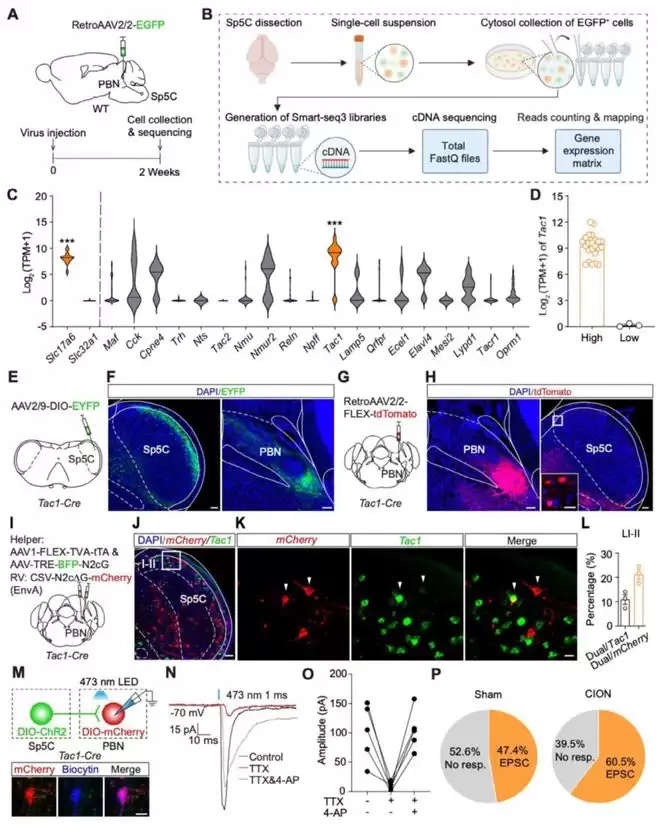
图二 投射至PBN的Sp5C神经元主要为Tac1阳性
研究者接下来利用Smart-seq3单细胞测序发现,投射至PBN的Sp5C神经元几乎全都是兴奋性的,并且特异性表达Tac1基因,从而确认了Tac1是这群神经元的关键分子标记。
随后,通过多种Cre/FLPo鼠系(如 Tac1, Tacr1, Pdyn, Nmur2)的对比示踪实验,证实只有Sp5C中的Tac1神经元(Sp5CTac1)能大量投射到PBN。更深入的狂犬病毒(RV)逆向示踪与光遗传学电生理记录显示,Sp5CTac1神经元与 PBNTac1神经元之间存在直接的单突触兴奋性连接。最关键的是,在三叉神经痛(CION)模型中,这条Sp5CTac1 → PBNTac1通路的突触连接强度显著增强。
这表明,这条精准的神经“排线”不仅负责痛觉信息的传递,其连接性的病理性提升更是诱发三叉神经痛的核心机制。

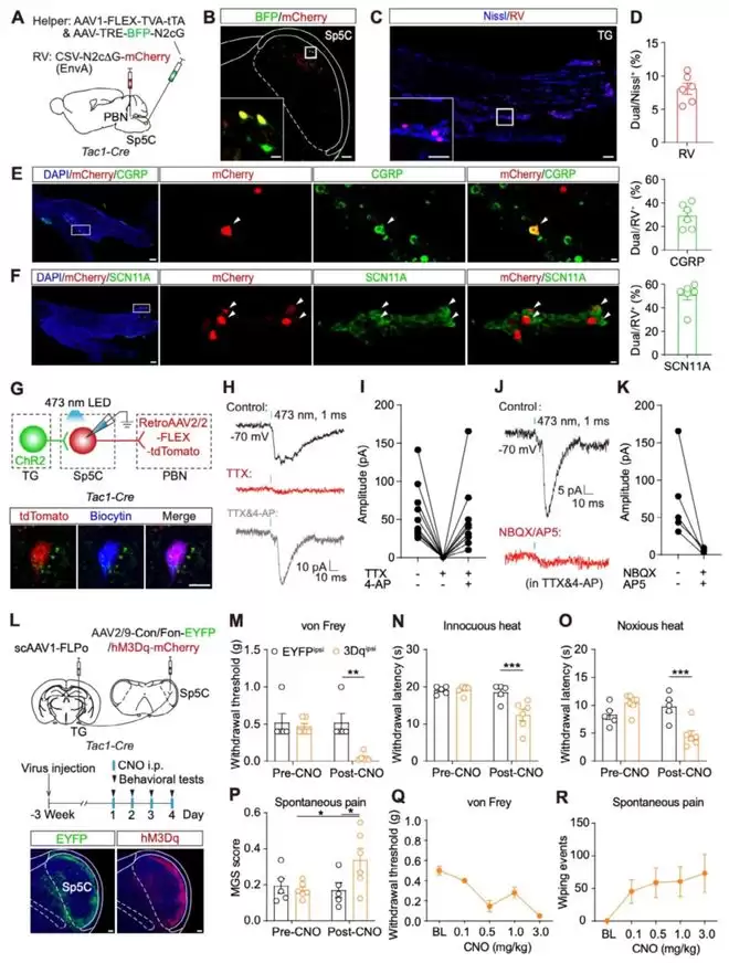
图三 Sp5CTac1阳性神经元直接将三叉神经节的信号传递至臂旁核
研究者利用RV跨突触示踪发现,投射到PBN的Sp5CTac1神经元直接接收来自TG的信号输入。
对这些TG神经元进行鉴定显示,它们既包含传递伤害性刺激(如痛觉)的 CGRP和SCN11A阳性细胞,也包含传递非伤害性刺激(如触觉)的 NF200 阳性细胞。
电生理记录进一步证实,约37%的Sp5CTac1神经元与TG建立了直接的单突触兴奋性连接。最后,通过化学遗传学特异性激活这群接收TG输入的 Sp5CTac1神经元,发现即便在没有外界伤害刺激的情况下,也能诱发小鼠出现明显的机械痛敏、热痛敏及痛苦表情,且表现出剂量依赖性的自发擦脸行为。
这有力地证明了TG → Sp5CTac1通路足以驱动面部痛觉行为,是三叉神经痛传导链条中的核心环节。
总结
研究首次鉴定出介导TN发病的TG-Sp5CTac1-PBNTac1 关键通路,发现Tac1是PBN投射型Sp5C神经元的特异性分子标记,明确了口面部疼痛与躯体疼痛的差异化神经机制。
现有TN治疗药物(如卡马西平)为非特异性靶点,副作用显著;本研究发现的Sp5CTac1-PBNTac1通路Tac1基因为TN提供了全新的靶向治疗靶点,为开发高特异性、低副作用 TN 药物奠定基础。
文章来源:DOI: 10.1002/advs.202516310
相关攻略
人体内长期存在来自母亲的少量细胞,称为“微嵌合”。它们通过胎盘进入胎儿体内并伴随一生,不仅帮助免疫调节、促进器官修复和神经发育,还可能影响移植效果。尽管与某些疾病相关,这种细胞共存体现了生命间深刻的生物学连接。
首张动物鼻腔嗅觉受体分布图绘成 来源:科技日报 科技日报记者 张梦然 嗅觉这事儿,说来奇妙。它帮我们感知环境、预警危险,甚至能瞬间唤醒一段尘封的记忆。但你知道吗?与其他感官相比,嗅觉背后的生物学机制,长期以来就像一团迷雾。视觉、听觉的受体在大脑里如何“排兵布阵”,科学家已经摸得比较清楚;可到了嗅觉这
《柔美的细胞小将3》放出新预告,金高银饰演的柔美已经从小职员变成知名作家。事业成了,人却麻了——她的“细胞村”全员休眠,生活干得像隔夜面包。 从职场新人到畅销作家,柔美的职业路径堪称完美。但问题来了:事业登顶之后呢?预告片里,金高银那张写满疲惫的脸,比任何台词都更有说服力。她的内心世界,那个曾经热闹
在《细胞》与《科学》的视野中:衰老的本质与产业变革 顶级学术期刊正在重塑我们对衰老的认知——它不再仅仅是皱纹或白发,而被定义为一种“系统性失序”。其中,慢性炎症与血管功能衰退构成了两条核心通路:前者通过促炎因子加速细胞老化,后者则因微循环受阻而削弱营养输送与代谢效率。二者相互交织,最终形成一个难以逆
美媒:关键蛋白被发现或可逆转脱发 美国《科技日报》4月21日文章,原题:科学家发现一种可能有助于逆转脱发的“保护者”蛋白 脱发之后,为什么头发再也长不回来了?新加坡国立大学的研究人员近期在英国《自然·通讯》上发表的一项研究,或许给出了一个关键答案。研究揭示,一种名为MCL-1的蛋白质,扮演着毛囊干细
热门专题
热门推荐
《Zero Parades: For Dead Spies》的媒体评测已经解禁,结果相当亮眼。这款被许多人视为《极乐迪斯科》精神续作的作品,在OpenCritic上拿到了86分的媒体均分,在Metacritic上也有83分。游戏将于5月21日正式登陆PC平台,看来2026年的必玩叙事RPG名单上,又
目录 你是否也遇到过这些问题 处理效果 前置准备 超简单AI自动化解决方案 第1步:准备好你的原始数据 第2步:针对指定的文件下达指令 第3步:验收 还能解决这些同类问题 指令为什么这么有用? 更多场景直接抄作业 销售数据三级汇总 成本数据多级汇总 库存数据汇总 员工薪资汇总 常见问题答疑 核心价值
AI Agent 的发展,正迎来一个关键的转折点,从概念验证迈向真正的生产力交付。 想象一下,当一个 AI 智能体能够在无需人工介入的情况下,独立完成一个复杂项目的全流程,并将成功经验固化为可随时调用的“技能”——这是否标志着 AI 在职场中的角色,已经从辅助工具演变为自主的生产力单元? 随着 Op
彭博社的马克・古尔曼在最新报道中透露了一个有趣的发现:苹果为WWDC 26发布的宣传海报,其设计细节可能暗藏玄机,指向了即将在iOS 27中亮相的全新Siri交互界面。 根据古尔曼的分析,新版Siri的核心变化在于与灵动岛的深度融合。唤醒时,它将不再以传统的全屏或底部卡片形式出现,而是会以一个扩展的
GitHub 的 Star 数量还值得信赖吗?真相可能比你想象的更严峻。 开源社区中“购买 Star”的现象早已不是秘密,其便捷程度甚至超过点外卖,单价低廉且支持批量折扣。然而,卡内基梅隆大学(CMU)一项被 ICSE 2026 顶会收录的最新研究,首次系统性地揭示了这场“造假生意”的惊人规模:Gi





