科学家发现阿尔茨海默病的关键“内置刹车系统”
11 月 7 日公布的一项突破性研究颠覆了学界对阿尔茨海默病的传统认知。这篇发表在国际权威期刊《自然》上的论文揭示,大脑免疫细胞「小胶质细胞」在该疾病中扮演着双重角色——它们不仅是神经退行过程中的破坏者,更可能是守护大脑的关键屏障。
免费影视、动漫、音乐、游戏、小说资源长期稳定更新! 👉 点此立即查看 👈
需要说明的是,小胶质细胞作为大脑中主要的免疫防线,与其他部位的免疫细胞功能相似,承担着巡逻监测、清除代谢废物和应对组织损伤的职责。先前学界普遍认为其在阿尔茨海默病进展中主要发挥负面作用,但新证据表明这些细胞同样具备保护神经元的能力。
这项由德国马克斯・普朗克研究所牵头的研究证实,在特定分子信号激活下,小胶质细胞能够主动抑制神经炎症反应,有效延缓疾病恶化进程。这一发现为阿尔茨海默病的治疗策略开辟了新方向。

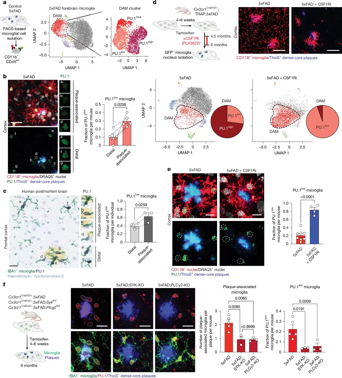
研究团队通过阿尔茨海默病小鼠模型、人类细胞系及脑组织实验发现,降低一种名为PU.1的免疫调控因子表达水平,是激活小胶质细胞保护功能的关键步骤。然而,这种转录因子如何精准调控细胞功能状态,进而影响病程发展的分子通路,始终是未解之谜。

为破解这一机制,研究人员整合分子生物学分析、小鼠基因编辑及人类脑组织样本检测,成功绘制出PU.1信号通路的完整调控网络。
他们观察到,当小胶质细胞表面的斑块感应受体(如TREM2)被激活后,会启动级联信号传导,促使细胞内PU.1蛋白水平下降。
这种关键蛋白的减少进而激活了名为CD28的共刺激分子,最终将小胶质细胞转化为具备神经保护功能的状态。

实验数据显示,CD28分子在这些保护性小胶质细胞中起着至关重要的「功能开关」作用。当研究人员从这些细胞中特异性敲除CD28基因后,其保护作用完全丧失——大脑内炎症反应急剧加剧,同时淀粉样蛋白斑块的沉积速度也明显加快。这一结果明确显示,CD28是维持小胶质细胞防御功能不可或缺的分子组件。
论文资深作者安妮・谢弗教授指出:「这项发现证明了小胶质细胞具有惊人的适应性,它们并非阿尔茨海默病进展中被动的破坏者,而是能够主动重塑自身功能的动态调节者。」
合作研究者艾莉森・戈特教授补充道:「该发现也从机制层面解释了为何编码PU.1的基因变异会降低阿尔茨海默病患病风险。新揭示的PU.1–CD28信号轴,为理解大脑保护性免疫反应提供了分子框架。」
参考文献
Lymphoid gene expression supports neuroprotective microglia function
相关攻略
人民网北京3月30日电 (记者赵竹青)当高端科学仪器被AI赋能,会发生什么?3月27日,2026中关村论坛年会AI for Science(人工智能赋能科学研究)青年论坛上发布的我国首套智能双束电镜
来源:海外网03:41机器人“灵巧手”能独立穿针引线,亦可弹琴奏乐;智能眼镜将语音转为字幕、总结成提纲,帮助人们实现高效交流;脑机接口、外骨骼突破技术瓶颈,助力残障人士恢复手部运动,甚至举起哑铃
机器之心编辑部自从大语言模型诞生起至今,AI 已经润物无声地融入了我们的工作生活,也成为了现代社会的重要组成部分。但使用 AI 日久,总有一种大模型也失去了客观严谨的理性的感觉。哪怕我们给出错误的认
国家自然科学基金重大非共识项目启动试点,首批遴选出的3项建议资助项目中,复旦大学现代物理研究所核科学与技术系重离子物理团队“原子核跃迁中新粒子探测”项目成功入选。该项目针对近年学界广泛关注和备受争议
来源:科技日报科技日报记者 李均 通讯员 许凤婷3月29日,在第二届浦江AI学术年会上,上海人工智能实验室(以下简称上海AI实验室)发布面向重大科学突破的“AGI for Science珠穆朗玛计划
热门专题
热门推荐
3月30日消息,今晚除了手机之外,vivo还发布了全新的旗舰平板——vivo Pad6 Pro。行业首发13 2英寸4K原彩屏,分辨率3840×2160,347PPI,支持1-144Hz LTPS自
WPS表格中提取括号内容有四种方法:一、单对英文小括号用FIND+MID;二、中英文括号通用需SUBSTITUTE预处理;三、多对括号取最后一对需REVERSESTRING反向查找
3月30日,南京新街口核心商圈,苏豪大厦一楼广场上机器人迎宾起舞,充满科技感。由苏豪资产运营集团与南京新街口金融商务区管理委员会(以下简称“新街口管委会”)共同打造的“数智苏豪”新街口OPC社区揭牌
电 动 知 家消 息,近日,据外媒报道,据福特汽车日前发布的一份文件,该公司首席执行 官吉姆·法利2025年的总薪酬大幅增长了11%,达到约2752万美元(约1 9亿元人民币),这是其自2020年末
白宫里,一台人形机器人缓步走入东厅,与美国“第一夫人”并肩亮相,动作仍带着明显的机械感;仅仅一天后,国会山上,这种“会走路的机器”却被划为潜在安全威胁,写进立法提案。这是上周美国上演的荒诞一幕。两党





