打一针就能治疗粉碎性骨折,浙大团队研发出全球首款“骨胶水”
9 月 9 日消息,据“邵逸夫医院”官微消息,浙江大学医学院附属邵逸夫医院(下称“浙大邵逸夫医院”)骨科范顺武教授、林贤丰副主任医师团队从牡蛎粘附的奥秘中获取灵感,突破百年医学难题,成功研发出全球首款能够在人体血液环境中实现即时强效黏合的骨胶水材料 ——“骨 02”碎骨黏。
2025 年 9 月,历经 8 个月的严谨探索,浙大邵逸夫医院联合浙大二院、上海六院等国内多家权威医疗机构,成功完成全球首个针对粉碎性骨折黏合治疗的多中心随机对照临床研究入组,“骨 02”在 150 余例受试患者中展现出良好的安全性和有效性,各项指标均达到预设标准。据介绍,这一创新生物材料可普遍用于大小骨折碎片的黏合固定,有望减少或替代传统金属内固定物的使用,为骨科领域带来颠覆性的治疗模式革新。
据了解,骨折作为临床上常见的损伤,若不能获得及时有效的治疗,可造成严重后果,这是导致中青年患者病残、老年患者死亡的主要因素之一。随着现代医疗技术水平的提高,尤其是螺钉、钢板等金属内固定物的应用,骨折的整体预后已有了翻天覆地的改变,但对于伴随众多细小碎骨块的粉碎性骨折,临床治疗仍面临巨大挑战:传统金属固定方法难以实现解剖复位,固定小骨片过程不仅费时费力,难以做到严丝合缝的拼接,且易导致骨碎片在操作中丢失或被吸收,造成骨量不可逆损失,进而引发骨愈合延迟或不愈合。特别是关节部位的粉碎性骨折,如果无法精准复位,极易造成关节面缺损或不平整,最终发展为创伤性关节炎,严重影响患者功能与生活质量。
全球范围内,粉碎性骨折每年新增病例高达数千万。如何为这些患者提供更有效、更微创的治疗方案,成为骨科领域最具挑战性的临床难题之一。
“如果能有一种可以直接黏合骨头的医用材料……”深耕骨科临床四十余年,这个看似简单的设想,自范顺武教授从医之初便扎根在他的心中。事实上,近百年来,全球各地的科学家和临床医生从未停止对于骨黏合材料的探索,却始终未能突破生物安全性与血液环境这两项关键技术瓶颈。
范顺武教授将这一“接力棒”交到了“90 后”的林贤丰副主任医师手里。早在 2016 年,当时还是住院医师的林贤丰就已在手术台旁感受到粉碎性骨折治疗的复杂与无奈。他观察到即便是经验丰富的资深专家,也需要在术中耗费数个小时来固定碎骨片,效果却常不尽人意。结合亲身体会和基础研究积累,林贤丰下定决心要带领年轻团队投身骨胶水的研发,然而最初几年却一直未能取得实质性进展,研究一度陷入停滞。
转机出现在林贤丰回家乡温州探亲时 —— 从小在海边长大的他,无意间看到跨海大桥底部密密麻麻附着着一层牡蛎。它们历经风浪冲刷,仍与混凝土牢固结合、浑然一体。
这幕自然奇景瞬间给了他灵感:既然牡蛎能在海水中粘得牢固,那么能否在人体湿性环境中创造类似的可能性?
受到这一仿生学原理的启发,团队明确了方向。但将灵感转化为产品需要跨越重重壁垒:首先是材料的选择与突破,需要找到能在血液环境中快速形成强力黏合、且生物相容性优异的复合材料,并精确控制温度,避免组织热损伤;其次是工艺方面的创新,必须建立标准化、可复制的制备流程,确保材料易于手术操作,满足临床应用的实际需求;安全验证上,则需通过严格实验证明其在体内的长期稳定性与安全可吸收性。
通过对牡蛎生物粘附机制的科学分析,历经 50 余种配方迭代、数百次测试优化,结合大量的鼠、兔、犬等动物实验,团队最终成功攻克了材料的生物毒性、血液环境黏合性和手术操作便捷性等关键难题。
科研成果实现了三大核心突破:在血液浸润的湿性生理环境下实现 2-3 分钟即时、强效黏合;操作简便高效,显著提升手术效率;材料可完全生物降解,约 6 个月后随骨愈合而自然吸收,实现真正的“无痕”,免除传统手术需二次手术之苦。
这一凝聚创新智慧的成果被团队赋予了一个有趣的名字 ——“骨 02”。命名灵感源于家喻户晓的 502 胶水,寓意对其在骨科领域实现同等强效黏合与广泛应用的期许。

实验证实,“骨 02”最大黏合拉力可达 400 多斤,具有替代金属内固定物的强大潜力,同时可降低金属异物反应和感染风险,大幅提升手术效率、减少术中创伤,实现真正的骨科手术微创化。
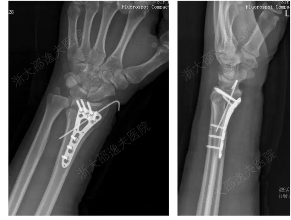
“骨 02”的临床价值也已在全国各中心 150 余例受试病例中得到验证。其中,一位年轻工人因外伤导致腕部桡骨远端粉碎性骨折,传统治疗方案需大切口植入钢板螺钉(见图 2),不仅创伤大、存在肌腱粘连或神经损伤风险,且需术后一年行二次手术取出。应用“骨 02”黏合技术,团队仅通过一个 2~3 厘米的微创切口注入“胶水”材料,短短 3 分钟内即完成了粉碎骨块的精准黏合与固定。术后 3 个月随访显示,患者骨折愈合良好,无并发症,腕关节功能完全恢复(见图 3)。


“特别值得一提的是它的广泛应用前景。”林贤丰表示,“几乎适用于全身所有部位、各种尺寸的骨折修复,尤其是传统器械难以固定的微小碎骨。由于其快速黏合和使用便捷的特点,将来有望用于国防战事、灾害救援等特殊场景下的骨折紧急救治。”
这项由中国医生原创的科技成果,标志着我国在骨折微创治疗领域实现了重大自主突破。
目前,“骨 02”的核心研究团队已向国家知识产权局申请中国发明专利,并同步递交了国际 PCT 专利,经权威查新确认具有新颖性与创造性。
下一步,团队计划同步开展口腔种植牙及脊柱微创内固定替代的临床试验。随着临床应用的不断拓展,“骨 02”正从单点突破迈向全域治疗体系的革新。
热门专题
热门推荐
2026年5月6日,存储行业迎来一个标志性节点:美光正式向市场交付其6600 ION系列固态硬盘的245TB版本。这不仅刷新了商用SSD的容量纪录,更意味着数据中心存储的密度与能效竞赛,进入了新的阶段。 这款“巨无霸”SSD的核心,是美光自研的第九代(G9)276层3D QLC NAND闪存颗粒。为
2026年5月5日,小米汽车旗下备受期待的首款增程式全尺寸SUV——内部代号“昆仑”的路试谍照正式曝光。作为一款瞄准多人口家庭用户市场的战略车型,“昆仑”采用了当前市场热门的增程式混合动力技术路线,旨在为用户提供无里程焦虑的纯电出行体验。 据悉,这款全新SUV计划于2026年下半年正式上市发布,其亮
备受期待的荣耀600系列手机国行版本,即将在本月下旬正式登陆国内市场。根据最新备案信息,该系列将提供六款独具特色的配色供消费者选择,分别为:象征喜悦的“好事橙”、寓意美好的“幸运星”、清新淡雅的“茉莉白”、活力十足的“青苹果”、深邃迷人的“光羽蓝”,以及永不过时的经典“曜石黑”。 从硬件配置来看,荣
近日,游戏界传来一则颇具讨论价值的消息。由前《巫师3》总监Konrad Tomaszkiewicz领衔的工作室Rebel Wolves,正式公布了其正在开发的黑暗奇幻角色扮演游戏《黎明行者之血》的一项激进设计:玩家在完成序章后,几乎可以跳过所有支线任务与地图探索,直接挑战位于城堡中的最终BOSS。
在王者荣耀的对抗路中,老夫子凭借其独特的机制,始终是令对手头疼的强势英雄。想要真正掌握这位“单挑王”,一套精准的攻速铭文搭配与灵活的出装思路,是奠定你线上压制力与团战影响力的关键。正确的配置,能让你从对线期开始就掌握主动权。 攻速铭文搭配:构筑前期优势的核心 铭文是英雄前期作战能力的基石。对于依赖普





